新闻中心 临床资讯
首例!上海儿童医学中心在脑肿瘤治疗领域实现了细胞级精准突破!
2025.06.28
首例!上海儿童医学中心在脑肿瘤治疗领域实现了细胞级精准突破!(图1)

临床进展

2025年6月18日,上海儿童医学中心张江院区神经外科马杰教授团队完成了一例儿童松果体肿瘤切除手术,术中应用新技术细胞级荧光导引成像系统EndoSCell®(安刀),辅助肿瘤手术达到阴性切缘,实现了该技术首次在儿童神经肿瘤中的应用。


首例!上海儿童医学中心在脑肿瘤治疗领域实现了细胞级精准突破!(图2)

患者基本信息

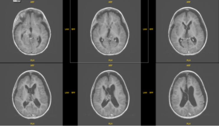
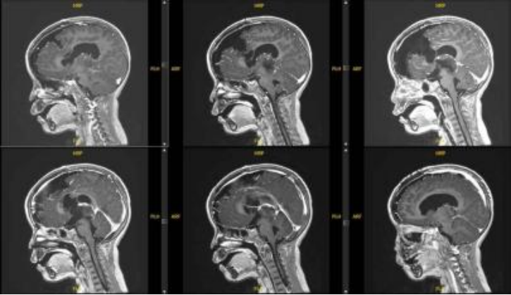
患者女,4岁6月,症状为双上肢震颤、右侧踝阵挛。院外头颅MRI平扫示松果体区占位性病变并梗阻性积水、间质性脑水肿。在上海儿童医学中心张江院区神经外科进一步行头颅MRI平扫+增强检查,于松果体区见团块样占位,大小约29.4*26.7*26.5mm,T1WI低信号,T2WI稍高信号,有明显不均匀强化。影像学诊断为右侧丘脑至松果体区占位,考虑恶性肿瘤。

首例!上海儿童医学中心在脑肿瘤治疗领域实现了细胞级精准突破!(图3)
首例!上海儿童医学中心在脑肿瘤治疗领域实现了细胞级精准突破!(图4)
首例!上海儿童医学中心在脑肿瘤治疗领域实现了细胞级精准突破!(图5)

患儿术前MRI图像

首例!上海儿童医学中心在脑肿瘤治疗领域实现了细胞级精准突破!(图6)
首例!上海儿童医学中心在脑肿瘤治疗领域实现了细胞级精准突破!(图7)
首例!上海儿童医学中心在脑肿瘤治疗领域实现了细胞级精准突破!(图8)

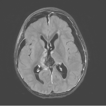
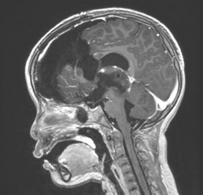
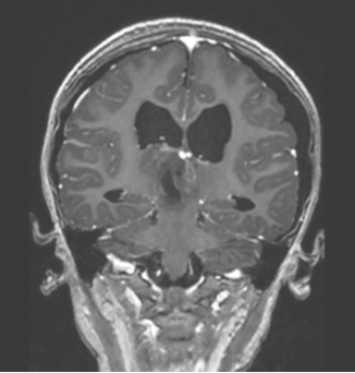
患儿术后MRI图像


松果体区位于大脑的中心位置,靠近第三脑室后部和中脑导水管。松果体区肿瘤的生长会直接造成压迫或阻塞,影响脑脊液的正常流动,从而导致梗阻性脑积水、颅内压升高等引起的一系列症状。手术切除是治疗的有效手段,但松果体区肿瘤位置较深,且周围有关键的神经结构和血管,切除操作困难。同时,该患儿松果体区肿瘤质地硬韧,在切除时对肿瘤的边界判别也是一个重要考量因素。考虑到肿瘤切除的同时要保功能,治疗专家团队考虑应用手术显微镜、神经导航系统以及细胞级荧光导引成像系统EndoSCell®(安刀)多技术联合辅助进行该手术。


手术团队首先在手术显微镜下,根据术中神经导航系统的计划及引导进行大体肿瘤切除,并在导航系统及显微镜目视下确认达到肿瘤阴性切缘。对切除的新鲜离体组织,在手术床旁进行快速细胞级荧光导引技术-EndoSCell®检测:对切除的瘤区进行取样,通过EndoSCell®扫查对肿瘤的细胞组织形态进行评估。同时,对切缘区域进行扫查,以评估切缘是否从细胞层面达到阴性的水平,EndoSCell®探查确认达到阴性切缘后,手术结


首例!上海儿童医学中心在脑肿瘤治疗领域实现了细胞级精准突破!(图9)

专家在手术中应用细胞级荧光导引技术EndoSCell®


首例!上海儿童医学中心在脑肿瘤治疗领域实现了细胞级精准突破!(图10)

肿瘤核心:细胞核异型性明显,密度高,分布不均。


首例!上海儿童医学中心在脑肿瘤治疗领域实现了细胞级精准突破!(图11)

切缘组织:细胞核稀疏,均匀分布,阴性。


术后病理考虑为颅内间叶源性肿瘤,非脑膜上皮来源。FISH提示EWSR1不典型断裂阳性。术后MRI显示肿瘤完全切除。目前患儿情况稳定,由ICU转入普通病房。

首例!上海儿童医学中心在脑肿瘤治疗领域实现了细胞级精准突破!(图12)
首例!上海儿童医学中心在脑肿瘤治疗领域实现了细胞级精准突破!(图13)
首例!上海儿童医学中心在脑肿瘤治疗领域实现了细胞级精准突破!(图14)

患儿术后MR影像:松果体区肿瘤组织切除完全


马杰教授在术后表示:“这是我们医院首次在术中应用细胞级荧光导引技术,该技术让外科医生在术中肉眼就能实时看到组织的细胞图像,有利于在肿瘤边界识别的精度提高到细胞水平,让手术更精准。此次手术的成功不仅为患儿带来了新的希望,也标志着我们上海儿童医学中心神经外科在脑肿瘤精准治疗领域实现了细胞级精准的突破。”


关于儿童的神经系统肿瘤  


国家儿童癌症监测中心2022年统计数据显示,中枢神经系统肿瘤是0-14岁儿童最常见的肿瘤,在小儿恶性疾病中的发病率(19.59/百万)仅次于白血病。手术切除是治疗脑肿瘤的有效手段,研究表明,手术切除范围(EOR)是患者预后的重要指标,最大范围安全切除并保留功能,术后改善患者预后。细胞级荧光导引技术的应用,有助于从细胞层面实现最大范围安全切除肿瘤。


术中导航作为可视化指导术中定位肿瘤边界的方式被广泛应用,然而术中可能出现脑脊液偏移而导致导航边界不准。华山医院发表在International Journal of Surgery的一项最新研究显示,在神经导航系统确认到达阴性的区域,细胞级荧光导引技术仍发现有60.3%的肿瘤残留(HE确认阳性)


细胞级荧光导引技术EndoSCell®的出现,首次让外科医生在术中实现高清、实时看到动态、无伪影的肿瘤细胞图像,可帮助术者术中实时指导手术策略,实现细胞级的精准切除。弥补了术中核磁、术中超声、术中荧光、术中冰冻等传统术中边界判读技术在可视化不足、精度不够、耗时长等方面的不足,成功将肿瘤边界判定从毫米影像时代推进到微米细胞纪元。



专家介绍


首例!上海儿童医学中心在脑肿瘤治疗领域实现了细胞级精准突破!(图15)

马杰 教授

国家儿童医学中心

上海交通大学医学院附属儿童医学中心

神经外科主任|国家二级教授|主任医师

博士生导师


上海市优秀学科带头人,上海市领军人才,上海市侨联副主席,民盟中央委员

●中华医学会小儿神经外科学组组长

●上海医学会小儿神经外科学组创始组长

●上海市医师协会神经外科医师分会会长

●中国儿童脑肿瘤协作组(CNOG)主委

●上海交通大学医学院脑肿瘤临床研究中心主任

●世界神经外科联谊会(WFNS)小儿神经外科常委

●亚澳小儿神经外科学会(AASPN)常委


擅长手术治疗各类儿童脑肿瘤,如:髓母、室管膜瘤、胶质瘤、颅咽管瘤、脑干肿瘤等;脑室镜下治疗脑积水,各种颅内囊肿;微创下治疗脊膜膨出和脊髓栓系综合症、颅面畸形的矫形治疗、小儿脑血管病的外科治疗及小儿难治性癫痫的外科治疗等。国内率先开展婴幼儿巨大脑肿瘤切除手术、产房神经外科手术。开展国际最小年龄的脑肿瘤手术,国内最小年龄VNS治疗难治性癫痫手术、单节段选择性脊神经后根离断术(SDR)治疗儿童痉挛性脑瘫、复杂颅面颅骨畸形矫治等高难度手术,取得了医学界公认的满意疗效。


荣获国家自然科学基金资助在内的国家及省部级课题20余项,在该领域发表有代表性SCI论文30余篇,影响因子近100分。多次参与国家重大科技计划973课题研究,主持参与多项国际国内儿童脑肿瘤临床研究课题。发起并举办了十一届具有国内外影响力的“中国小儿神经外科论坛(CPNF)”,创立了中国儿童脑肿瘤协作组(CNOG),发起了该领域国内多中心临床研究,为中国小儿神经外科专科医生培训及中国小儿神经外科事业的发展做出了重要贡献。

-END-


关于EndoSCell®(安刀)


术中手持显微镜EndoSCell®(安刀)是目前全球唯一能实现术中在体细胞级别显影的仪器,为外科医生提供了术中细胞级荧光导引。设备采用了先进的光学技术和图像处理技术,将传统大型光学显微镜缩小到千分之一的大小,同时保留了1200倍放大的光学性能。全球领先的防抖技术让EndoSCell®同时具备了高清、动态和无伪影的成像特点,5-10分钟的漫游式滑动扫描,即可完成手术区域的切缘观察。这意味着医生可以在术中实时观察到细胞层面的异常组织,从而更加高效、准确地判断切缘和肿瘤边界,通过细胞级精准手术实现最大化安全切除。


分享文章
媒介垂询
李梦雅 limengya@scellmed.com